Уральские врачи первыми в России и вторыми в мире сделали внутриутробную операцию на кровеносном сосуде головного мозга

У ребенка была выявлена редкая патология: аневризма вены Галена. Было принято единственно правильное решение – оперировать. С помощью крошечного отверстия специалисты получили доступ к голове плода. Операция длилась около часа. О том, как ее перенесла пациентка и что пережили сами врачи – в эксклюзивном интервью «Аргументам недели» рассказала хирург, зав. отделом биофизических и лучевых методов исследований НИИ Охраны материнства и младенчества, профессор, доктор медицинских наук и врач высшей категории Наталья Косовцова.

— Наталья Владимировна, как невозможное вдруг становится возможным: почему именно свердловские врачи сумели успешно провести сложнейшую операцию?
— Это кропотливая работа. Мы начали заниматься коррекцией внутриутробных пороков развития с 2009 года и регулярно внедряли новые виды лечение. То есть опыт у нас уже достаточно большой.
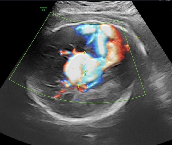
Аневризма вены Галена – это изменение сосудов головного мозга. Опасная патология, которая грозит кровоизлиянием. Порок формируется до рождения ребенка. Из-за расширения вены Галена, которая забирает кровь из глубинных отделов полушарий мозга, возникает риск ее разрыва.
— Как вы обнаружили патологию у этой пациентки?
— Она наблюдалась у нас в НИИ ОММ. В 30 недель у плода была выявлена аневризма вены Галена. Этот порок развития, он коварен тем, что поздно возникает – это диагноз третьего триместра беременности. Он был поставлен, когда пациентка пришла на очередной осмотр, в 31 неделю, после УЗИ.

Это достаточно тяжелый порок. Такие дети погибают либо внутриутробно, либо после рождения. Надо было прерывать беременность, но женщина отказалась. Сосудистый шар достиг в диаметре 36 мм. Это, фактически, половина головки плода на таком сроке, все это осложнялось гидроцефалией или водянкой головного мозга. То есть прогноз был крайне неблагоприятный.
— В чем была основная сложность для врачей в отличии от других внутриутробных операций?
— Таких операций в мире до сих пор не делали. В мае этого года единственная подобная операция по внутриутробной коррекции аневризмы вены Галена была проведена в США, в Бостоне.
У нас немного другая технология. Для нас главная сложность была в доступе. Он осуществлялся через затылочное отверстие. Операция длилась около часа и прошла успешно. Сейчас пока рано что-то прогнозировать, потому что такого опыта в мировом сообществе у неонатальных хирургов нет.
Каким образом отреагирует центральная нервная система мы не знаем, потому что все нейрохирургические операции имеют определенный риск осложнений.
— Скажите, такое оперативное вмешательство стало возможным в большей степени, благодаря искусству врачей или новому оборудованию?
— Мы давно используем современное оборудование, а расходные материалы – они стандартные, то есть не изобретались какие-то новые аппараты. Технология этой операции разрабатывалась нами от начала до конца, плюс, безусловно, опыт и искусство врачей.
И, естественно, нас поддерживали директор НИИ ОММ, доктор медицинских наук, профессор Галина Борисовна Мальгина и главврач Свердловской областной клинической больницы № 1 Игорь Михайлович Трофимов. То есть они ратовали за эксперименты, за проведение этой операции.

— Сколько врачей участвовали в операции?
— Непосредственно в операции принимало участие четыре врача: я сама оперировала, мне ассистировала ведущий научный сотрудник НИИ ОММ, кандидат медицинских наук, акушер-гинеколог высшей категории Татьяна Маркова, а также два специалиста из Свердловской областной клинической больницы № 1 – Заслуженный врач РФ, зав. отделением рентгенохирургических методов диагностики и лечения Лев Кардапольцев и сосудистый хирург, врач по рентгенэндоваскулярным диагностике и лечению Камилла Мавлютова. То есть это наша бригада, которая непосредственно оперировала.
Также из Москвы в качестве консультантов приезжали руководитель научно-исследовательского центра эндоваскулярной нейрохирургии, доктор медицинских наук, врач-нейрохирург высшей категории Кирилл Орлов и врач-нейрохирург высшей категории, кандидат медицинских наук, научный сотрудник ФГБУ «Федеральный центр мозга и нейротехнологий» Федерального медико-биологического агентства Вадим Берестов.
Я считаю, что такое содружество врачей, плюс поддержка администрации – все это помогает внедрять в практику такие уникальные операции.
Операция длилась недолго, но тем не менее, работа была очень напряженная.
— Страшно было?
— Страшно, конечно. Мы каждый день оперируем и всегда волнуемся. Ищем выходы из сложных ситуаций, придумываем новые технологии, чтобы спасать детей еще в утробе матери.
— Как сейчас мамочка себя чувствует?
— Мамочка чувствует себя хорошо. Плод мы смотрим, кровотоки у него хорошие, сердечко не увеличивается, но вот по центральной нервной системе мы пока не можем сказать, как она отреагирует. Ну, обследуем, делаем УЗИ, МРТ. Отслеживаем ситуацию каждую неделю.
— Пациентку выписали или она будет до родов находиться в НИИ ОММ?
— Операция прошла 8 августа, сейчас пациентку выписали, она будет амбулаторно приходить на приемы. Ну и в конце месяца, мы ее положим снова к нам в отделение, чтобы уже подготовить к родоразрешению.
— Что происходило раньше, если был поставлен такой диагноз?
— Раньше в такой ситуации женщине предлагали прервать беременность. У нас есть порядок Минздрава РФ, при пороках развития, которые нельзя скорректировать, мы можем прерывать беременность на любом сроке. Но нынешние технологии позволяют нивелировать развитие тех или иных патологий и сохранять жизнь детям.
— Как часто встречается подобный порок?
— Редко, но если он возникает, то высок риск потери ребенка. В Свердловской области аневризма вены Галена встречаются один-два случая в год.
— Операции бесплатные?
— Все внутриутробные операции для граждан России проводятся бесплатно.

— Можно ли говорить о том, что теперь такие операции, по крайней мере в Свердловской области, поставят на поток, или это был единичный случай?
— Мы стремимся помочь как можно большему количеству пациентов. Наши врачи начали заниматься аневризмой вены Галена лет пять назад, а два года назад у нас прошел первый эксперимент. Сейчас мы уже хотим отработать всю цепочку: перинатальная диагностика, формирование прогноза, родоразрешение, перевод в Свердловскую областную клиническую больницу № 1, где постнатально будут оперировать те же хирурги, которые нам помогают делать внутриутробные операции. Вот такая цепочка должна быть выстроена.
Если к нам будут поступать пациенты со всего Уральского Федерального округа, из Поволжья и Сибирского региона, это будут не единичные случаи. Это будет реальная помощь роженицам.
Я думаю, мы добьемся успеха, потому что все условия для этого есть.
Источник: argumenti.ru
Комментарии закрыты.