От роговицы до квантовых компьютеров: определена десятка ярких научных работ 2023
Российские ученые совершили ряд открытий в физике, химии, астрономии и других дисциплинах
Завершается второй год Десятилетия науки и технологий, наступает год 300-летия Российской академии наук. В общем, от науки никуда не спрятаться, не скрыться. Под занавес уходящего года мы решили подбить своеобразный итог, написать о том, какие научные работы «выстрелили» громче всех, запомнились, полюбились. Итак, встречайте десять ярких научных открытий.

Микроэлектроника. Так диагностируют «боевой стресс». Фото: А.Леонтьева
Математика. Прогноз погоды на мировом уровне
Более усовершенствованная модель расчета прогноза погоды была внедрена в оперативный прогноз на территории России в сентябре 2023 года. Если раньше разрешение сети, так называемый шаг температурных измерений по поверхности Северного полушария, измерялось в пределах 30 километров и больше, теперь оно уменьшилось до 10 километров.

Математика. Схема распределения температуры по поверхности Земли. Фото предоставлено Михаилом Толстых.
Прогноз погоды это то, с чем каждый из нас сталкивается каждый день. И каждый синоптик скажет вам, что погоду невозможно прогнозировать на промежуток времени длиной более 5 дней — это максимум, который пока не перешагнул никто. Но что касается точности прогнозирования в течение этого периода, она у российской модели средне-срочного прогноза погоды до последнего времени оставляла желать лучшего.
В уходящем году сотрудники Института вычислительной математики им. Г.И. Марчука РАН совместно с Гидрометцентром РФ усовершенствовали математический инструмент синоптиков. В лаборатории под руководством профессора РАН Михаила Толстых была разработана, а потом внедрена модель «ПЛАВ-10».
Это так называемая система детерминистического, то есть, учитывающего все явления и процессы, численного прогноза погоды. Если мысленно двигаться по поверхности Земли, то сейчас, благодаря «ПЛАВ-10», расстояние между измеряемыми точками составляет 10 километров. Это разрешение в три раза превышает прежнее, теперь наши синоптики владеют математическим инструментом, сопоставимым по уровню точности с мировыми моделями.
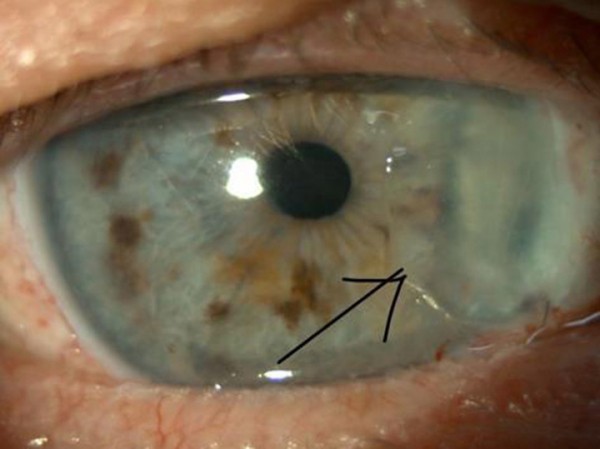
Медицина. Искусственная роговица
Идея создания искусственной роговицы лежала на поверхности долгие годы. Это было обусловлено высокой частотой заболеваний в результате травм, ожогов, генетических заболеваний и дефицитом донорского материала. По последним данным, на одну донорскую роговицу, взятую у умершего человека, претендуют примерно 70 пациентов.

Медицина. Искусственная роговица ( помечена стрелкой). Фото: Андрей Андреев
Есть сегодня в арсенале медиков искусственные роговицы из синтетических биополимеров, но они часто отторгаются организмом из-за плохой биосовместимости. Российским ученым НИИ глазных болезней им. М.М. Краснова удалось создать искусственную роговицу из коллагена, которая абсолютно биосовместима с организмом. Мало того, тканевые инженеры разработали такую методику, при которой со временем она растворяется и замещается собственными тканями пациента, «включается» механизм собственной клеточной регенерации.
В основе коллагеновой мембраны Viscoll, разработанной нашими учеными, лежит использование стерильного, высокоочищенного раствора коллагена 1 типа. Мембрана достаточна прочна, что важно при ее шовной фиксации. На сегодняшний день пройден ряд многолетних экспериментов на кроликах породы шиншилла, у которых специалисты получили прозрачное приживление трансплантата.
Клинические испытания продолжаются. Специалисты рассчитывают, что года через два после введения коллагеновой роговицы в практику, очередь из пациентов может сократиться на 20-30%.
Химия. ИИ-революция в катализе
В мире химии катализаторы — это незримые герои. Они ускоряют химические реакции, при этом сами не расходуются, и играют ключевую роль во многих процессах, от производства лекарств до очистки окружающей среды. Однако понимание того, как работают катализаторы, всегда было сложной задачей. В Институте органической химии им. Н.Д. Зелинского РАН предложили по-настоящему революционную идею – трансформирующего 4D-катализа. Новая концепция была открыта и описана в 2023 году в лаборатории под руководством академика РАН Валентина Ананикова.
Представьте, что вы можете наблюдать за химической реакцией по мере её протекания, видя, как молекулы взаимодействует с каталитическим центром и изменяются со временем. Это четырехмерный взгляд на катализ, не как на статичный процесс, а как на динамичный танец атомов и молекул, позволит ученым разрабатывать новые, более эффективные ускорители реакций.
Переход к 4D-катализу не был бы возможен без современного компьютерного прорыва — алгоритмизированного искусственного интеллекта (ИИ). Сложность химических реакций, с бесчисленным количеством переменных и одновременно протекающих реакций, уже обрабатываются и анализируются ИИ, он помогает решать «нерешаемые» ранее задачи.
Потенциальные области применения новой технологии очень разнообразны. Представьте топлива, которые сгорают чище, уменьшая воздействие на окружающую среду, более прочные и долговечные материалы, эффективные лекарства, адаптированные к индивидуальным потребностям пациента да еще с меньшим количеством «побочек». Появление химических веществ для подобных достижений уже находится в пределах обозримого будущего.
Физика. Квантовый ионный компьютер
Самый мощный универсальный ионный квантовый компьютер в России был продемонстрирован в 2023 году сотрудниками совместной лаборатории Физического института им Лебедева РАН (ФИАН) и Российского квантового центра.

Физика. Квантовый ионный компьютер ФИАНа. Фото предоставлено ФИАНом.
Чтобы понять, какой квантовый компьютер лучше, важно учитывать сразу несколько параметров. Один из них – количество единиц информации – кубитов. В компьютере разработчиков из ФИАНа их 20. Но, по словам одного из авторов работы Ильи Семерикова, кроме количества важна также достоверность одно-кубитной и двухкубитной операций, важно понимать, какой сложности алгоритм можно запустить на квантовом компьютере.
В настоящее время российский ионный квантовый компьютер немного уступает западным аналогам, имеющим по 30-32 кубита. Но! Он вырывается вперед по другому параметру, – в нем специалисты опробовали не простую кубитную (двухуровневую квантовую систему), а сразу четырехуровневую – кудитную, которая эффективней от двух до 6 раз в зависимости от заложенных алгоритмов вычисления. Компьютеров, способных на такое, в мире всего два – один — в ФИАНе, второй в Австрии, причем созданы они были почти одновременно. У нашего компьютера очень хорошая достоверность однокубитных операций – 99,95%. Также на нем уже проведены первые алгоритмы реализующие преимущества кудитных систем.
Ожидается, что первое полезное применение квантовых компьютеров в мире начнется в диапазоне от 5 до 10 лет. Российские ученые уверены, что не отстанут от мировых трендов и также через 5-10 лет смогут выдавать результаты по моделированию сложнейших химических веществ, включая лекарства, эффективные бизнес-прогнозы и пр. Однако точно предсказать, какая задача станет первой для квантового компьютера в будущем, пока не берется никто.
Общественные науки. База дружественных контактов
Базу данных с информацией о более тысяче ведущих аналитических центров («фабрик мысли»), расположенных в «незападных» странах собрали и верифицировали в 2023 году сотрудники Института научной информации по общественным наукам (ИНИОН). Исследование охватывает аналитические центры в Китае, Монголии, Индии, Иране, Турции, ряде арабских государств, странах-членах ЕАЭС и других бывших республик СССР.
Основной задачей ученых было предоставить, как российским, так и зарубежным ученым хороший навигатор по аналитическим центрам, который лишен ангажированности и политической предвзятости публиковавшихся ранее рейтингов американских университетов. В институте уверены, что их данные будут способствовать развитию научной дипломатии по тем направлениям, где ранее она была в дефиците.

Общественные науки. Обложка Атласа аналитических центров большой Евразии. Фото предоставлено А. Кузнецовым.
Среди конкретных результатов можно отметить начало выпуска справочников. Уже увидел свет первый том «Атласа аналитических центров Большой Евразии», посвященный странам ЕАЭС, Азербайджану, Таджикистану, Узбекистану, Монголии, второй планируется к выпуску в 2024 году. Учеными ведется перевод полученной информации на английский, китайский и некоторые другие языки, устанавливается прямая научная коммуникация с представителями аналитических центров из разных стран.
Физиология. «Выключить» эпилепсию
Забрезжил «луч света» для больных эпилепсией. В ноябре 2023 года в престижном международном журнале Gene Therapy вышла статья о генном подходе к лечению эпилепсии с довольно большим списком авторов из Москвы и Питера. В нем – физиологи из Института высшей нервной деятельности и нейрофизиологии РАН, Института эволюционной физиологии и биохимии им. Сеченова РАН, молекулярные биологи из Института биоорганической химии им. Шемякина-Овчинникова РАН, Федерального центра исследований мозга и нейротехнологий ФМБА, Российского национального исследовательского медицинского университета имени Н.И. Пирогова.
Дело в том, что десятки миллионов людей во всём мире страдают от наследственной или приобретенной эпилепсии. Причиной судорожных припадков является безудержная активность нервных клеток, расположенных во вполне определённых и хорошо известных физиологам и медикам отделах головного мозга. Смысл лечения – подавить эту активность, заставить нейроны «замолчать». До последнего времени это если удавалось, то медикаментозным или хирургическим путем. Но примерно в 30% случаев лекарства этим больным не помогают. Ученые нашли альтернативу – современную генную терапию.
Генетическим «инструментом» в работе 2023 года, о которой идёт речь, стал ген вполне конкретного белка. Авторы с помощью безвредного вируса-носителя целенаправленно ввели ген этого белка в те конкретные клетки мозга, которые отвечают за эпилептический припадок. Через какое-то время ген произвёл (экспрессировал) в этих клетках нужный белок (белок этот – ионный канал для ионов калия). В результате этого нервная клетка «замолчала», её безудержная физиологическая активность затормозилась!
Конечно, пока работа находится на стадии сугубо фундаментальных, лабораторных исследований. Но ученые уверены, что данный подход в итоге окажется весьма перспективным.
Сельскохозяйственные науки. Самый богатый урожай
В 2023 году ученые Федерального исследовательского центра «Немчиновка» установили рекорд: вывели сорт озимой пшеницы, который на делянке потянул на 158(!) центнеров с гектара, и это без потери качества зерна! Назвали красавицу «Васильевной»!

Сельхознауки. Сорт озимой пшеницы Васильевна во всей красе. Фото: В.Бугрова
Чтобы было понятней, сорта «Немчиновки» и раньше славились высокими урожаями сочетающимися с высоким качеством зерна, среди которых сорта Московская 39, Московская 40, Московская 56, Немчиновская 24, Немчиновская 85. Урожайность сорта Немчиновская 24 на опытных делянках, при высокоинтенсивной технологии возделывания достигала 140 центнеров с гектара. Но ученые шли вперед, создавая новый, более перспективный селекционный материал.
Васильевна «закладывалась» десять лет назад, в 2013-м году, когда сотрудники лаборатории озимой пшеницы скрестили сорт Немчиновская 24 с румынским сортом. После полученный результат методом ступенчатой гибридизации скрестили с сортом немчиновской селекции Московская 40. Далее была выделена перспективная линия, которую оценивали в полевых условиях на продуктивность, зимостойкость, устойчивость к болезням и в лабораторных условиях по содержанию в зернах белка и клейковины — главных качеств для хлебопечения.

Сельхознауки. Сорт Васильевна. Фото: В.Бугрова
В итоге Васильевна попала в конкурсное сортоиспытание. В период с 2021 по 2023 годы на полях ФИЦ «Немчиновка», которые находятся в Новомосковском административном округе столицы, новая пшеница «соревновалась» с другими перспективными линиями и стандартным сортом. Здесь она всех и опередила. Сейчас сорт передан на Государственное сортоиспытание, на основании которого будет принято решение о его дальнейшем распространении.
Сорт Васильевна относится к первому классу пшениц – содержание белка 14-15 %, содержание клейковины 30-32%.
Микроэлектроника и новейшие когнитивные исследования. Противостояние «боевому стрессу»
Ученые-психофизиологи и физики из МГУ, а также Института проблем лазерных и информационных технологий РАН объединились для разработки методов диагностики и лечения «боевого стресса», а точнее посттравматического стрессового расстройства (ПТСР). Они создали комплексный подход, который помогает «заглянуть в душу» человеку не только при помощи психологического тестирования, но и посредством разработанного экспериментального аппаратно-диагностического комплекса.
С травматическими событиями люди сталкиваются не только во время боевых действий. Расстройства могут возникать на фоне тяжелых болезней, типа COVID-19. Часто ПТСР сопровождается другими заболеваниями – диабетом, сердечно-сосудистыми заболеваниями, нарушениями психического здоровья, злоупотреблением психоактивными веществами, алкоголем, которые могут затруднить поиск диагностических критериев для выявления и различия психотравм.
Поэтому ученые решили работать с биомаркерами «боевого стресса» при помощи методов междисциплинарного характера.
Первый этап исследования посвящен психологическому (субъективному) тестированию с использованием ряда диагностических опросников, утвержденных Минздравом РФ в 2023 году. Далее результаты, по словам руководителя команды физического факультета, профессора Александра Шкуринова, сопоставляются с данными, полученными с использованием аппаратно-диагностического комплекса, то есть, с надетыми на голову шапочкой электроэнцефалографа, периферических датчиков. Все эти параметры могут меняться при остром или хроническом стрессе и сигнализировать доктору о выявленном ПТСР, а высокоскоростная камера в терагерцовом диапазоне улавливает едва заметные характерные изменения излучения от лица пациента.
Историко-филологические науки. ДНК сына Невского
Первое полногеномное исследование останков представителя рода Рюриковичей – сына Александра Невского Дмитрия Александровича, провели российские ученые. Оно показало наличие славянских, скандинавских и азиатских корней.
Исследование началось после археологических раскопок в Переславле-Залесском, где в Спасо-Преображенском соборе захоронены останки одного из четверых сыновей Александра Невского. В работе принимали участие специалисты Института археологии РАН и Федерального исследовательского центра «Фундаментальные основы биотехнологии».
Выделение ДНК из костных останков князя – пястной кости, коленной чашечки и ладьевидной кости стопы дало следующие результаты. Установлено, что Y-хромосома, выделенная из останков Дмитрия Александровича, принадлежит к N1a-гаплогруппе, которая присутствует в геномах большинства современных Рюриковичей, род которых ведется с XI века, со времени царствования князя Ярослава Мудрого. Среди предков князя, по словам генетиков, могли быть представители скандинавских, финно-угорских, славянских и степных, кочевых народов. Генетики также исследовали митохондриальную ДНК Дмитрия Александровича, которую он унаследовал от матери. Она принадлежит к гаплогруппе F1b1, которая встречается в Центральной Азии.
Астрофизика. Загадочная частица
Возможное происхождение космической частицы невероятной мощности, открытой астрофизиками при помощи телескопа Telescope Array в штате Юта (США) дали в 2023 году российские ученые из Института ядерных исследований РАН.

Астрофизика. Направление прихода события-частицы (черный кружок) на карте локальных источников в экваториальных координатах. Фото предоставлено ИЯИ РАН.
Энергия частицы, прилетевшей в 2021 году, составила 2,44х10 в 20 степени эВ. Ее назвали Аматэрасу в честь богини Солнца из японской мифологии.
Частица вызвала большой ажиотаж во всем мире, поскольку известно, что никаких потенциальных ее источников в обозреваемой части неба нет. Из более же дальних уголков Вселенной высокоэнергичные частицы к нам долетать не могут, поскольку за пределом Зацепина-Кузьмина-Грайзена (около 160 миллионов световых лет или 50 мегапарсек) большинство высокоэнергичных частиц (с энергией выше 5х10 в 19 эВ) поглощаются.
Ученые из группы ИЯИ РАН внесли решающий вклад в физическую интерпретацию наблюдаемого события. Они установили отсутствие взаимосвязи частицы с внегалактическими объектами и вычислили расстояние до ее предполагаемого источника – с 95-процентной вероятностью он находится не дальше 15 миллионов световых лет от Земли. Чем же он может быть? По словам одного из авторов работы Михаила Кузнецова, не исключено, что источником мог быть гамма-всплеск, который со временем успел потухнуть, а частица от него – долететь до нас. Направление прихода частицы соотнесено с картой внегалактических объектов и установлено, что частица пришла из пустой области нашей Вселенной.
Источник: www.mk.ru
Комментарии закрыты.